O echipă medicală de la Spitalul Pediatric Bambino Gesu din Roma a reușit să salveze viața unei copile de doar opt ani, printr-o operație complexă care a durat mai bine de nouă ore și care a presupus extirparea unei tumori renale de 1,5 kilograme.
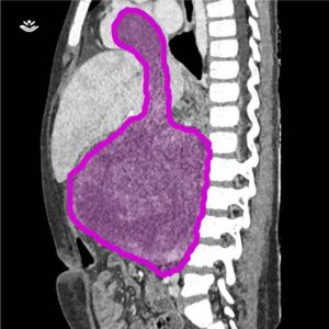
Fetița a fost diagnosticată cu un tip de cancer renal cunoscut sub numele de tumoră Wilms, iar masa tumorală a crescut atât de mult încât i-a ajuns la inimă. Din acest motiv, medicii au fost obligați să intervină în mai multe etape, astfel încât să poată curăța foarte bine toată zona.
Înainte de operație, pacienta a trecut prin şase cicluri de chimioterapie, care au avut rolul de a reduce dimensiunea tumorii.
Abia după aceea s-a intrat în sală, acolo unde au acționat pe rând mai multe echipe medicale. În primă fază, echipa de chirurgie oncologică a îndepărtat rinichiul drept, care, din cauza tumorii, era de zece ori mai mare decât în mod normal. Ulterior, a venit rândul cardiologilor care au oprit temporar inima fetiţei pentru a se putea face îndepărtarea părţii tumorii care invadase atriul drept.
În a treia etapă, și ultima, după repornirea inimii, chirurgii au finalizat operaţia prin îndepărtarea reziduurilor tumorale din vena cavă inferioară. Operația a durat mai bine de nouă ore, dar medicii au declarat că a fost un succes, iar acum pacienta se află în plin proces de recuperare şi îşi va continua tratamentul cu şedinţe de radioterapie abdominală şi mai multe cicluri de chimioterapie.
„Acest succes nu este doar o victorie medicală, ci şi o mare speranţă pentru multe familii care se confruntă cu situaţii similare”, a punctat Alessandro Crocoli, șeful Secției de Chirurgie Oncologică din cadrul Spitalului Bambino Gesu.
„Această intervenţie demonstrează modul în care, prin combinarea competenţelor avansate şi a tehnologiei de ultimă oră, putem aborda chiar şi cele mai dificile cazuri, redând speranţa pentru pacienţii noştri tineri”, a adăugat profesorul Lorenzo Galletti, şeful Secţiei de Chirurgie Cardiovasculară din cadrul Spitalului Bambino Gesu.
Tratamentul aplicat în acest caz complex nu s-a bazat doar pe măiestria chirurgilor, ci a implicat utilizarea unor tehnici de imagistică de ultimă generaţie pentru a realiza o reconstrucţie 3D a masei tumorale ce urma să fie îndepărtată. A fost necesară colaborarea unei echipe multidisciplinare formate din oncologi, chirurgi, cardiologi, anestezişti şi specialişti în imagistică medicală.
Nefroblastomul, care reprezintă aproximativ 90% din tumorile renale pediatrice, este o neoplazie rară care afectează în principal copiii cu vârste cuprinse între unul şi cinci ani, cu o incidenţă mai mare între doi şi trei ani.
Autor: Isabela Nicolescu
Foto: Spitalul Bambino Gesu

